
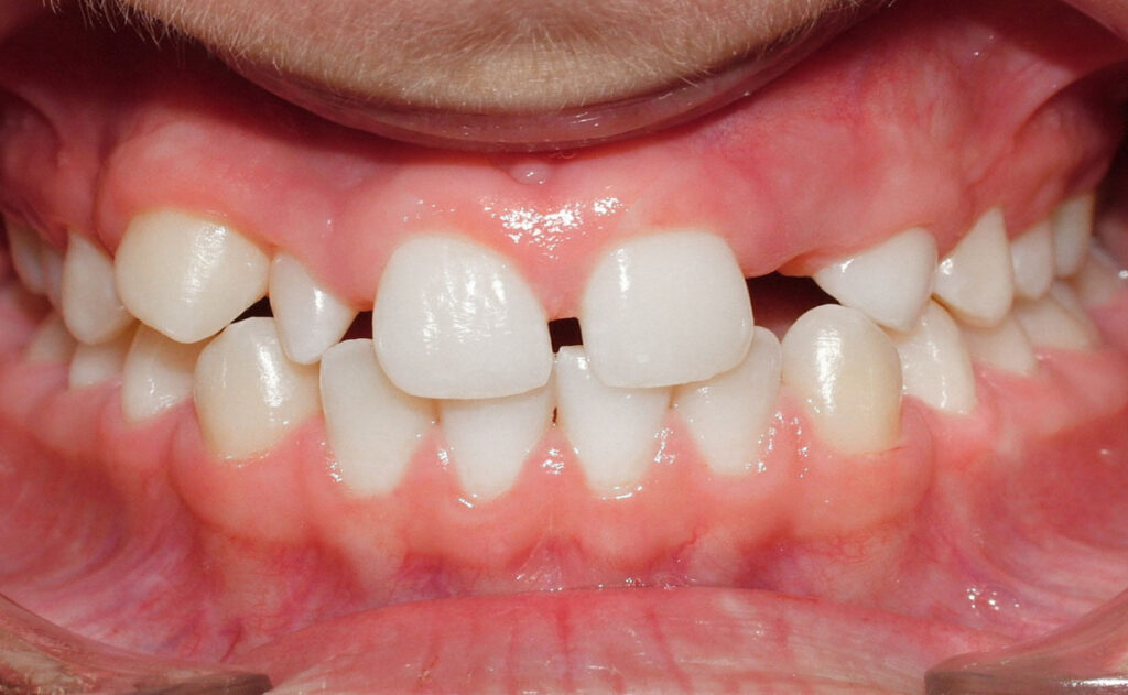
Le remodelage du sourire est un ensemble de techniques esthétiques et fonctionnelles permettant de transformer ou d’harmoniser le sourire.
Il peut associer plusieurs soins tels que :
Chaque plan de traitement est unique, conçu à partir d’une étude précise du visage et des attentes du patient.
Le remodelage du sourire s’adresse à toutes les personnes souhaitant :
Réaliser une transformation complète et naturelle du sourire.





Un sourire redessiné, plus lumineux et en parfaite harmonie avec votre visage.
Dr Anouer TABOUI, chirurgien-dentiste diplômé de la Faculté de Médecine Dentaire de Monastir. Titulaire d’un Doctorat en Médecine Dentaire et d’un Diplôme de Spécialité en Odontologie Conservatrice et Endodontie.