
Découvrez une sélection de cas traités par le Cabinet Dentaire Dr Taboui.
Ces cas cliniques illustrent différents types d’interventions esthétiques et fonctionnelles.
Au sein du Cabinet Dentaire Dr Taboui, nous mettons un point d’honneur à offrir des soins de haute qualité, alliant expertise médicale, esthétique et confort pour chaque patient.
Cette page présente une sélection de cas réels illustrant différents types de traitements esthétiques et fonctionnels réalisés au cabinet : blanchiment, facettes, restaurations et bien plus.
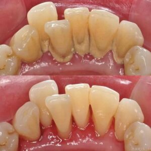
Le patient présentait un dépôt important de tartre et une coloration liée au café et au tabac.
Après un détartrage complet suivi d’un polissage, les dents retrouvent une surface plus propre, plus lisse et un aspect nettement éclairci.
Cette intervention améliore aussi la santé des gencives.
Une cavité colorée était visible sur une incisive, gênant le patient esthétiquement.
La carie a été nettoyée puis restaurée à l’aide d’un composite parfaitement assorti à la couleur naturelle de la dent.
Le résultat est invisible et redonne une harmonie immédiate au sourire.
Le patient souhaitait retrouver un sourire plus lumineux et corriger une coloration jaunâtre installée depuis plusieurs années, due notamment au café et au tabac.
Un blanchiment professionnel a été réalisé en cabinet, utilisant un gel à haute concentration activé sous contrôle clinique.
Le patient présentait un ensemble de dents usées, décolorées et disharmonieuses, avec des formes irrégulières et des usures liées au temps.
Une transformation complète du sourire a été planifiée, en commençant par la pose de couronnes provisoires afin de rétablir l’esthétique, la hauteur du sourire et la fonction.
Dr Anouer TABOUI, chirurgien-dentiste diplômé de la Faculté de Médecine Dentaire de Monastir. Titulaire d’un Doctorat en Médecine Dentaire et d’un Diplôme de Spécialité en Odontologie Conservatrice et Endodontie.