Avoir de belles dents ne dépend pas seulement des soins chez le dentiste : ce sont les habitudes du quotidien qui déterminent réellement la santé de votre sourire. Pour garder des dents fortes, blanches et sans douleur tout au long de l’année, il suffit d’adopter quelques gestes simples, mais essentiels. Voici les meilleures habitudes à intégrer dans votre routine pour préserver durablement votre santé bucco-dentaire.
Se brosser les dents correctement, deux fois par jour
Le brossage est la base d’une bonne hygiène.
Pour être efficace, il doit :
durer au moins 2 minutes,
être effectué matin et soir,
utiliser une brosse souple et un dentifrice fluoré,
suivre un mouvement doux de la gencive vers la dent.
Un bon brossage permet de retirer la plaque dentaire, d’éviter les caries et de protéger les gencives.
Utiliser le fil dentaire ou les brossettes interdentaires
Le brossage seul ne suffit pas : il ne nettoie pas les espaces entre les dents.
Le fil dentaire ou les brossettes interdentaires permettent de :
éliminer les résidus alimentaires,
réduire le risque de gingivite,
éviter la formation de tartre dans les zones difficiles d’accès.
C’est un geste indispensable pour garder des dents et des gencives saines toute l’année.
Réduire la consommation de sucre et de boissons acides
Les aliments sucrés et acides fragilisent l’émail et favorisent les caries.
Pour protéger vos dents :
limitez les sodas et jus industriels,
évitez de grignoter sucré entre les repas,
privilégiez l’eau comme boisson principale,
attendez 20–30 minutes avant de brosser vos dents après un aliment acide.
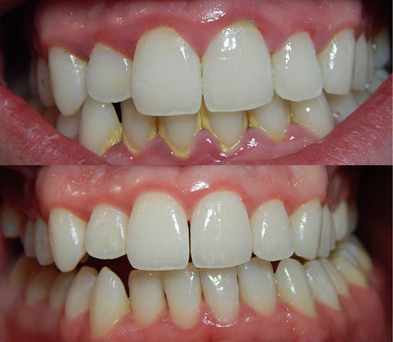
Faire un détartrage et un contrôle chez le dentiste deux fois par an
Même avec une bonne hygiène, le tartre finit toujours par s’accumuler. Le détartrage professionnel est indispensable pour :
éliminer la plaque résistante,
prévenir les inflammations,
protéger vos gencives,
détecter les problèmes avant qu’ils ne deviennent sérieux.
Un contrôle régulier permet d’éviter les urgences et de conserver votre sourire en pleine santé toute l’année.
Adopter une alimentation bonne pour les dents
Certains aliments renforcent naturellement les dents :
fromages, yaourts : riches en calcium,
amandes, brocolis : bons pour l’émail,
pommes, carottes : nettoient mécaniquement les dents,
eau : essentielle pour la salive, qui protège les dents.
Une alimentation équilibrée joue un rôle majeur dans la prévention.
Changer sa brosse à dents régulièrement
Une brosse usée n’est plus efficace.
Il est recommandé de la changer :
tous les 3 mois,
ou dès que les poils commencent à s’ouvrir.
Une brosse en bon état garantit un nettoyage optimal au quotidien.
Garder des dents saines toute l’année est à la portée de tous : il suffit d’adopter les bons réflexes et de les maintenir régulièrement. En combinant une hygiène quotidienne efficace à des visites régulières chez le dentiste, vous protégez votre sourire et évitez les problèmes avant qu’ils n’apparaissent.
Le Dr Anouer TABOUI vous accompagne avec des conseils personnalisés et des soins professionnels pour préserver durablement la santé de vos dents.

