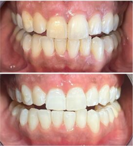
Le blanchiment dentaire est une solution efficace pour retrouver un sourire plus blanc et lumineux. Cependant, ses effets ne sont pas définitifs. Beaucoup de patients à Tunis se demandent quand il est nécessaire de refaire une séance de blanchiment dentaire et comment prolonger les résultats dans le temps. Voici tout ce qu’il faut savoir.
Combien de temps dure un blanchiment dentaire ?
La durée des résultats d’un blanchiment dentaire varie selon plusieurs facteurs :
la teinte initiale des dents
la technique utilisée (cabinet ou à domicile)
l’hygiène bucco-dentaire
les habitudes alimentaires et le tabac
En général, les résultats peuvent durer entre 6 mois et 2 ans. Avec un bon entretien, le sourire reste éclatant plus longtemps sans avoir besoin de recommencer immédiatement le traitement.
Quand faut-il refaire une séance de blanchiment ?
Il n’existe pas de délai universel. Une nouvelle séance est recommandée lorsque :
la teinte des dents commence à s’assombrir progressivement
le patient consomme régulièrement café, thé ou tabac
l’éclat initial n’est plus satisfaisant
le dentiste constate que l’émail est en bon état
Dans la majorité des cas, une retouche légère suffit après 12 à 18 mois, plutôt qu’un blanchiment complet.
Peut-on refaire un blanchiment sans risque ?
Oui, à condition que le traitement soit espacé et réalisé sous contrôle d’un dentiste. Des séances trop rapprochées ou des produits non adaptés peuvent provoquer une sensibilité dentaire ou fragiliser l’émail.
Un dentiste évaluera toujours :
l’état des dents et des gencives
la sensibilité existante
le besoin réel de refaire une séance
Comment prolonger les résultats du blanchiment ?
Pour espacer les séances de blanchiment, il est conseillé de :
maintenir un brossage régulier et efficace
limiter les aliments et boissons colorants
éviter le tabac
effectuer des contrôles dentaires réguliers
suivre les conseils personnalisés du dentiste
Ces bonnes habitudes permettent de conserver un sourire blanc plus longtemps.
Pourquoi consulter un dentiste à Tunis pour le suivi ?
Un blanchiment dentaire réussi ne s’arrête pas à la séance. Le suivi est essentiel pour préserver la santé des dents et éviter les excès. À Tunis, un dentiste expérimenté assure un accompagnement personnalisé, en privilégiant un résultat naturel et durable.
Refaire une séance de blanchiment dentaire dépend de l’évolution naturelle de la teinte des dents et des habitudes du patient. En moyenne, une retouche tous les 12 à 18 mois suffit pour conserver un sourire lumineux. Un diagnostic professionnel reste indispensable pour garantir sécurité, confort et efficacité.

